そもそも親知らずとは
正式名称は第三大臼歯(だいきゅうし)と言います。通称「親知らず」ですが、智歯(ちし)なんて言い方もします。早い方では17才ぐらいから生えてきます。昔は短命であったために、そのころになると親は死んじゃってこの世にいませんので「親知らず」なんて通称ができたそうな。智歯ってのも、知恵(智恵)がついたころに生えてくるということから名付けられたものでしょう。歯医者さんでは「8番」なんて言い方もします。
親知らず Q and A
抜かなくても良い親知らずもあるんですよね?
上下とも親知らずがまっすぐ生えていて、かみ合っている場合は抜歯対象ではありません。手前の歯が欠損していてブリッジの土台となる場合や、将来的に移植のドナーとなりそうな場合も抜歯対象から外れます。また、症状のまったく無い完全な埋伏歯も抜歯したくない歯です。
抜いた後、かなり腫れると聞いたのですが・・?
昔はずいぶんと抜歯後に腫れたような気がします。ケースバイケースですが、今はそれほど腫れる方は多くありません。抗生剤等の発達や、骨を除去するときに骨ノミを使わなくなったのも要因かと思われます。しかし、下の親知らずが横になっているケースでは腫れることが予想されます。従って、旅行前や写真撮影前の抜歯はおすすめいたしません。
時間がありません。一度に複数本ぬいてもかまいませんか?
口腔外科を併設している病院では入院して一度に4本の抜歯を実施していることもあるようです。ヨシダ歯科では上下2本の親知らずの抜歯は「よくあるケース」です。左右一度に抜歯することはお薦めいたしておりません。1週間後に中近東に出張しなくてはならないサラリーマン氏の親知らずを2日で4本抜歯したことがありますが、これは希なケースです。
妊娠中ですが親知らずが痛いです。
出来れば、妊娠前に抜歯すべきでしたね。普通に歯科に通院できるような妊婦さんの場合、ヨシダ歯科では他の方と同じように抜歯をいたします。麻酔による影響はほとんどゼロと考えて宜しいです。お薬もあまり副作用の心配のない物をお出ししております。抜歯しないことによる不利益よりも、抜歯する危険性の方が小さいと思われるケースは抜歯すべきでしょう。
抜くのに何時間もかかるんですか?
どんな抜歯でも9割以上は、15分以内に終わります。ただし、いろんな条件で時間がかかる場合もあります。ワタクシ、こうみえても諦めが早いほうなので、抜歯に取りかかってから30分で抜けない場合は「二回法抜歯」に切り替えます。1回目に歯の頭部分だけを抜歯し、2回目(数ヶ月後)に2回目の抜歯を行う方法です。2回目の抜歯は楽な場合が多いです。
※正直に言いますと、1回目も2回目も頑として抜けてくれず、患者さんにご迷惑をかけてしまったこともありますが、、、、
抜くときは痛いですか?
麻酔さえ効いていれば痛くないです。歯茎に炎症が残っている場合は麻酔も抜歯も痛みを伴うことがありますが、無理せず消炎してから抜歯するかぎりあまり痛くありません。
親知らずは若いうちに抜いた方が良いのですか?
絶対に若いうちに抜歯することをお薦めします。例えば、真横になっていてほとんど見えてもいない親知らずを抜歯することがあります。歯茎を切って、骨を削って、歯を分割して抜歯するのですが、20才ぐらいの方ですとあまり痛みを訴えません。30才、40才と年を重ねるごとに術後の痛みが多いようです。
※ワタクシ、30代半ばで友人に下の親知らずを抜歯してもらいました。20分ぐらいで終わるだろうの予想に反して1時間あまり時間がかかりました。その後2週間ぐらいズーッと痛かった記憶があります。
親知らずが埋まっているのですが、抜いた後の腫れ・痛みは?
上の回答にもあるのですが、年齢にもよりますし、埋まっている状態や親知らずの形態にもよります。腫れも痛みも大小がありますが、腫れや痛みがあっても当然だと思ってください。
親知らずは口腔外科で抜いた方が良いですか?
抜歯は口腔外科でも良いですし歯科でもかまいません。大学病院の口腔外科に何年も勤務していた先生でも口腔外科の看板をあげていない先生もいらっしゃいます。また、今のところ歯科医師免許さえ取得していれば誰でも口腔外科の標榜はできますので、、、
ちなみに、ヨシダ歯科では年に10例ほど、室蘭市の日鋼記念病院に抜歯依頼をしております。
口腔外科専門医は難しい抜歯を数多く手がけております。そのような先生の方が綺麗に鮮やかに術後の経過もよく抜歯してくださることは明白です。ほとんどのケースで全身麻酔下の抜歯となっているようです。
親知らずを抜いた後の注意事項を教えてください。
意外なことかもしれませんが、一番の注意事項は「抜いた当日は”うがい”をしないこと」です。抜いた穴には血が充満してきます。その血を”うがい”で洗い流してしまうと骨が露出してしまいます。これはドライソケットと呼ばれるもので、抜歯後の痛みの原因No.1です。「血がなかなか止まらなかった、、」という方は痛みが少ないことが多く「血は出なかった」という方はドライソケットになって痛みが出やすいです。
お風呂は控えましょう。シャワーはかまいません。お酒は少し我慢です。激しい運動も避けてください。消化の良い食べやすい食事を採って早めに寝てしまいましょう。
親知らずが横向きにはえてます。歯茎を切ったりするんでしょうか?
症例写真
症例1

これは親知らずではありせんが、写真上からも「絶対に抜歯」と判断されました。なんとか保存を、、、と望む気持ちも分かりますが、プロである我々が「ダメ」と判断したものを無理に残しても良いことはありません。

実際に抜いてみると、根の周りに歯石が付着しているのが確認できます。根の先端までこんなに真っ黒なのです。保存できるわけがありません。
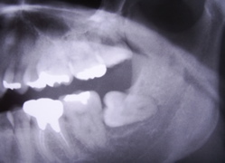
症例2

10代後半の男性です。根は多少広がっていますが、比較的簡単な抜歯と判断しました。(上下の親知らずを一度に抜歯しました)

抜いた下の親知らずです。麻酔後、抜歯に取りかかってから終了まで上下で2分ほどで終了してます。
症例3

30代前半の男性です。赤矢印を見てください。親知らずのせいで、手前の歯が神経まで虫歯になってます。もっともっと前に抜くべきでした。

2分割して抜歯してます。実質抜歯時間(麻酔時間をいれずに)は7分です。2針縫ってます。
症例4

20代後半の男性です。初診時にはかなり腫れていました。腫れている場合は、炎症が止まってから抜歯になります。

2分割して抜歯してます。実質抜歯時間(麻酔時間をいれずに)は12分です。2針縫ってます。この方は、お口が小さく、ゲーっとなりやすい方で、時間がかかりました。
症例5

平成10年、20才の時の写真です。上下に親知らずが埋まってます。

同じ方が平成18年に来院したときの写真です。とにかく下の歯茎が痛くなったそうです。横向きになった親知らずの下方に黒い炎症像が見えます。

上の親知らずが下の腫れた歯茎に食い込むように咬んでいます。上の親知らずは痛くないのですが、説得してまずは上の抜歯です。実質抜歯時間は1分もかかっていません。

1週間後、下の炎症はすっかり治まってました。実質抜歯時間は8分です。2針縫ってます。
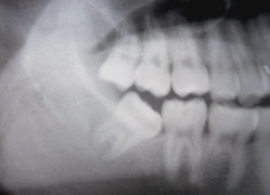
症例6

20代後半の男性です。まっすぐよりやや後ろ側に倒れています。歯の上部には骨もあります。見た目は歯茎の中に全て隠れており、難抜歯が予想されました。

頑として抜けてくれず、骨も相当量削除し、歯の後方も前方もカットしました。抜いた歯を見ると写真の暗影のように根がぷっくりとだるま方に膨れていました。
所要時間は45分、患者さんも自分もグッタリと疲れ果てました。
症例7

17歳6ヶ月の高校生です。写真は右下ですが、このときに左下親知らずを抜歯しております。
今度は右側を抜こうね、、、とお話ししましたが、是非抜くべきであると強くは主張しませんでした。

それから半年が経って、やはり右側が痛いということで来院されました。
角度がより大きくなって抜きにくくなっております。
半年前に抜いておけば、、、
症例8

平成6年の時の写真です。
右下に親知らずがありますが、症状もなく放置しております。
手前の銀歯の適合も良く有りませんが、これも症状がなく放置しております。

それから17年が経過しました。
親知らずはまるで手品のように傾いています。ほぼ逆さまに近い状態です。
レントゲンで黒くなっている透過像を見て「悪性腫瘍では?」という最悪の事態も考えました。
紹介先の日鋼記念病院で入院。抜歯を含む手術を行いました。
悪性腫瘍でなくホッとしました。
平成6年に説得して抜いていれば、、、悔やまれます。

